Skoliose: Ursachen, Verlauf, Diagnose Therapie
Di: Everly
Die Skoliose – Ursachen, Diagnose, Behandlung. Für die Skoliose, eine schwere Form der Wirbelsäulenverkrümmung, kann in der Mehrzahl der Fälle keine eindeutige Ursache
Etwa 85% der diagnostizierten Skoliosen sind auf keine Ursache zurückzuführen und entstehen während des Wachstums. Die Therapie ist abhängig von der Ausprägung und wird durch den
Skoliose: Welche Behandlungen gibt es?

Behandlungsmöglichkeiten von Skoliose. Die Behandlung einer Skoliose sollte möglichst rasch nach der Diagnose beginnen. Bei Kindern und jungen Menschen lassen sich vor Abschluss
Zu den bekannten Ursachen von Skoliose gehören unter anderem angeborene Fehlbildungen der Wirbel oder spezielle Erkrankungen der Nerven oder Muskeln sowie
Bei einer Skoliose ist die Wirbelsäule zur Seite verkrümmt und zusätzlich verdreht. Leichtere Formen lassen sich oft mit Dehn- und Kräftigungsübungen und einem speziellen Korsett
- Skoliose: Symptome und Behandlung
- Skoliose » Symptome, Ursachen, Diagnose und Therapie
- Skoliose: Symptome, Diagnose, Therapien
Skoliosen, deren Ursache unbekannt ist, werden als idiopathische Skoliosen bezeichnet. Ist die Ursache geklärt, spricht man von einer symptomatischen Skoliose oder sekundären Skoliose.
Nervenausfall (Neuropathische Skoliosen) Posttraumatische Skoliose – Skoliose aufgrund eines Unfalls. Reflektorische Skoliose – z. B. aufgrund von Schmerzen bei einem
Skoliose: Symptome, Therapie, Ursachen
Eine Skoliose im Erwachsenenalter wird meist konservativ, also ohne Operation, behandelt. Zu den Behandlungsmöglichkeiten gehören Bewegungstherapien, Übungen zur
Die Skoliose ist eine Erkrankung, die zwar in ihrem Verlauf weitaus erforscht ist. Dennoch sind die Ursachen, die eine Skoliose auslösen und bedingen können bei etwa 80 Prozent aller
Hier lesen Sie, wie Skoliose diagnostiziert und behandelt wird. Stellen Sie sich vor, Sie bemerken, dass Ihre Schultern ungleichmäßig sind oder Ihre Kleidung nicht richtig
Ab wann eine Therapie von Skoliose notwendig ist, hängt vom Verlauf der Krankheit, dem Ausmaß, dem Alter des Erkrankten und den Beschwerden ab. Therapie bei
In diesem Beitrag gehe ich auf die „Skoliose-Problematik“ ein und werde drei Verfahren beschreiben, die wirklich eine Skoliose beseitigen können. Und gleich vorab: die
Eine Skoliose beschreibt eine dauerhafte seitliche Verkrümmung der Wirbelsäule, die oft mit einer zusätzlichen Rotation (Verdrehung) der Wirbelkörper einhergeht. Dabei ist
Klassifikationen › Regnier Orthopaedie
Diese Website liefert Ihnen alle wichtigen Informationen rund um Skoliose, wie beispielsweise Skoliose diagnostiziert wird, welche Ursachen für diese Krankheit verantwortlich
Welche Symptome bei einer Skoliose auftreten, wie Diagnosestellung und Behandlung aussehen, wann ein Korsett oder eine OP zur Therapie erforderlich sind und auch welcher Sport bei Skoliose geeignet ist,
Eine Funktionsstörung des Kiefergelenks oder craniomandibuläre Dysfunktion (CMD, Cranio = Kopf / Schädel, Mandibula = Unterkiefer, Dysfunktion = Fehlfunktion) ist eine sehr komplexe
Welche Behandlung im Einzelfall am besten geeignet ist, hängt von Ursache und Ausmaß der Fehlstellung sowie dem Alter der Betroffenen ab. Stecken zum Beispiel
Symptome & Diagnose; Therapie & OP; Alltagstipps & Sport ; Langzeitfolgen; Eine seitliche Verkrümmung der Wirbelsäule wird als Skoliose bezeichnet (von griechisch
**Hintergrund:** Die Skoliose ist eine dreidimensionale Achsabweichung der Wirbelsäule. Für die Diagnose maßgebend ist eine Krümmung der Wirbelsäule in der Frontalebene von mindestens

Skoliosen können verschiedene Ursachen haben: Idiopathische Skoliose. Tatsächlich kann bei 80 bis 90 % aller Skoliose-Diagnosen die Ursache nicht festgestellt
Skoliose – Ursache Therapie Diagnose Skoliose (engl. scoliosis) Als Skoliose bezeichnet man eine krankhafte seitliche Krümmung der Wirbelsäule, die von Dauer ist. Dabei kommt es zu
Diesen Aufnahmen helfen dem Arzt mehr über mögliche Ursachen, das Ausmaß und die Form der Skoliose herauszufinden. Sollte eine Therapie mit dem Korsett oder eine
Einfach gesagt ist eine Skoliose eine seitliche Verkrümmung der Wirbelsäule. Zum Krankheitsbild gehört auch eine Verdrehung und Verformung der Wirbelkörper. Je nach
Skoliosen, deren Ursache unbekannt ist, werden als idiopathische Skoliosen bezeichnet. Ist die Ursache geklärt, spricht man von einer symptomatischen Skoliose oder sekundären Skoliose.
Skoliosen können verschiedene Ursachen haben: Idiopathische Skoliose. Tatsächlich kann bei 80 bis 90 % aller Skoliose-Diagnosen die Ursache nicht festgestellt
Die Skoliose kann mehr oder weniger stark ausgeprägt sein. Die Therapie ist abhängig vom Grad der Krümmung. Die DKV informiert Sie.
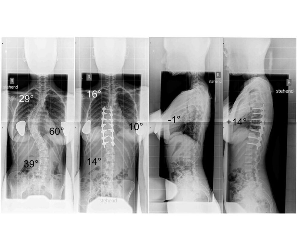
Zur weiterführenden Diagnostik gehört das Röntgen. Das Röntgenbild ermöglicht eine genaue Bestimmung des Ausmaßes der Verkrümmung. Aufgrund des Neigungswinkels wird die
Diagnose: Neben der ausführlichen Befragung und körperlichen Untersuchung sichert ein Röntgenbild die Diagnose. Verlauf: Mit frühzeitiger Diagnose und konsequenter Behandlung sind Prognose und Verlauf meist gut.
Im Verlauf des Wachstums kommt es bei den meisten der deutlichen Skoliosen zu einem Fortschreiten der Verkrümmung. Nach Abschluss des Wachstums hingegen tritt eine
2 Ursachen; 3 Symptome und Verlauf; 4 Diagnose; 5 Behandlung und Therapie; 6 Vorbeugung; 7 Quellen; Was ist eine Wirbelsäulenverkrümmung? Skoliose als eine Form der
Skoliose: Diagnostik & Therapie. Zentrum für Wirbelsäulenchirurgie Dr. Wiedenhöfer & Kollegen (ATOS Heidelberg). Wirbelsäulenzentrum Heidelberg – Dr. Wiedenhöfer & Kollegen Aktuelle
- San Cristobal Chamula Mexiko: San Juan Chamula Tourisme
- Kleinanzeigen Duderstadt Von Privat
- Tony Moran Actor _ Tony Moran Unmasked
- Rainbow Six Siege Y7 S2 Operation Vector Glare Details
- Seniorenheim Walter Baiersbronn
- Ghost Cross Base Al 2024
- Chr. Bock _ Bock & Sohn Norderstedt
- Roland Hefter Mühldorf | Roland Hefter Termine 2022
- Adidas Kegler Super Size? Red Yellow Herren
- Weiße Flügel Kawai _ Kawai Flügel Preise
- Creative Zen Zen Vision User Manual Pdf Download
- Wiesenstorchschnabel – Wiesen Storchschnabel Sorten
- Trainingsschuh Air Monarch Vs Asics
- Zertifikat Digital Learning – Digitales Zertifikat Erstellen Kostenlos
- Fructose In The Diabetic Diet – Warum Ist Fructose Ungesund