Osteitis, Osteomyelitis – Osteomyelitis Treatment
Di: Everly
Pustulosis, Hyperostose und Osteitis) oft als Synonym für die CRMO/CNO betrachtet, wobei bisher unklar ist, ob es sich hierbei tatsächlich um die gleiche Krankheitsentität handelt.
Bei einer Osteomyelitis ist das Innere des Knochens, das Knochenmark, entzündet. Wenn dagegen der äußere Teil des Knochens erkrankt, sprechen Fachleute von
ICD-10-GM-2025: M86.- Osteomyelitis

Osteomyelitis kan acuut optreden, maar kan ook langdurig bestaan (chronische osteomyelitis). Jonge kinderen en ouderen lopen een verhoogd risico op het ontwikkelen van osteomyelitis.
Osteomyelitis bezeichnet eine Infektion des Knochenmarkraums . Akute Form: Entsteht innerhalb von Tagen bis Wochen; Chronische Form: Entsteht über Monate bis Jahre, assoziiert mit
- Ähnliche Suchvorgänge für Osteitis, osteomyelitis
- Osteomyelitis, Osteitis, Knochenerkrankungen
- Ähnliche Suchvorgänge für Osteitis, osteomyelitisOsteomyelitis
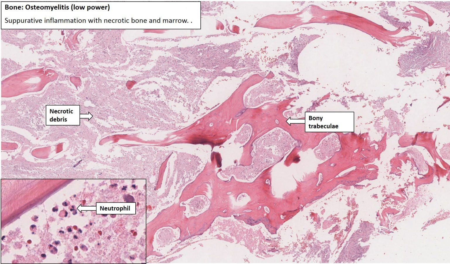
Osteomyelitis (plural: osteomyelitides) refers to infection, typically bacterial, of bone involving the medullary cavity 21. This article is focused on acute bacterial osteomyelitis.
Klinische Manifestationen treten als Osteitis/Osteomyelitis, Spondylodiszitis, Gelenkinfektionen und Protheseninfektionen auf. Risikofaktoren für Knocheninfektionen sind
Osteomyelitis ist eine bakterielle Infektion der Knochenrinde und des Knochenmarks. Neben starken Schmerzen im Bereich der Knochen und Gelenke sind vor
Hierbei handelt es sich um eine Infektionserkrankung des Knochens (Osteitis) und/oder des Knochenmarks (Osteomyelitis). Erfahren Sie mehr zu Ursachen, Symptomen, Diagnostik und
Osteomyelitis, Osteitis, Knochenerkrankungen
Osteomyelitis, nicht näher bezeichnet : Knöchel und Fuß [Fußwurzel, Mittelfuß, Zehen, Sprunggelenk, sonstige Gelenke des Fußes] M86.98. Osteomyelitis, nicht näher bezeichnet :
Reactive bone marrow edema and osteitis are recommended to be avoided in cases of infection as these can occur in non-infectious conditions, e.g. inflammatory arthritis 21.
Osteomyelitis bedeutet „Knochenmarkentzündung“. Diese kann auch im Kiefer auftreten. Ursache kann z.B. eine „verschleppte“, lang andauernde bakterielle Knocheninfektion nach Entzündung
Bei einer Knochenentzündung (Osteitis) oder eine Knochenmarkentzündung (Osteomyelitis) ist eine rasche Behandlung notwendig, um schwerwiegende Folgen zu
Unter Osteomyelitis versteht man eine infektiöse Entzündung des Knochenmarks. Immer häufiger wird auch der Begriff „Osteitis“ („Knochenentzündung“) verwendet, da in den meisten Fällen
Osteomyelitis. Osteomyelitis is een infectieziekte aan het bot, beenvlies of beenmerg, die wordt veroorzaakt door bacteriën en microbacteriën. Osteomyelitis is een ziekte aan het beenvlies,
Die Osteitis / Ostitis als Entzündung des Knochens ohne Markbeteiligung und die Osteomyelitis als reine Knochenmarkentzündung gehen größtenteils ineinander über. Diese
- ICD-10-GM-2025: M86.- Osteomyelitis
- Osteomyelitis: Informationen & Osteomyelitis-Spezialisten
- Principles of the therapy of bone infections in adult extremities
- Knocheninfektion » Ursachen, Symptome, Therapie
- Osteomyelitis / Osteitis heilen mit HBO-Therapie
Kliniken für Osteomyelitis — Klinikliste 2025
Über Osteomyelitis Die Osteomyelitis ist eine bakterielle Infektion des Knochens, die ohne Behandlung nicht ausheilen kann, zur Zerstörung des betroffenen Knochens führt und schwere
Osteomyelitis im Kindesalter Die akute hämatogene Osteomyelitis ist eine typische Erkrankung im Kindesalter besonders zwischen dem 3. und 15.Lebensjahr.Eine Osteomyelitis im Säuglings-
Bei einer Knochenentzündung (Osteitis, Osteomyelitis) sind in den meisten Fällen Bakterien die Erreger. Entzündungen, die durch Bakterien ausgelöst wurden, lassen sich mit
Keywords: Osteitis, Osteomyelitis, Surgical therapy. Introduction. The term osteitis refers to a bone infection mostly caused by bacteria that may lead to the complete destruction of the
Bei einer Ostitis oder Osteitis handelt es sich um eine Entzündung des Knochengewebes. Sie kann die Kompakta, die Spongiosa oder beide Gewebetypen betreffen. Bei bakteriellen
Die Osteomyelitis ist eine akute beziehungsweise chronische Entzündung des Kieferknochens – der Kompakta und der Spongiosa – auf der Grundlage einer bakteriellen Infektion, die nach
Bei Befall eines Gelenkes durch die Osteomyelitis/Osteitis wird für gewöhnlich eine Spülung durchgeführt. Diese kann über eine einfache Hohlnadel geschehen oder über
Osteomyelitis – eine Entzündung des Knochenmarks. Bei der Osteomyelitis handelt es sich um eine akute oder chronische Knochenmarkinfektion, die meistens auch eine
Osteomyelitis (Knochenentzündung oder auch Knochenmarkentzündung genannt) ist der medizinische Begriff für eine Infektion in einem Knochen. Die Anzeichen und Symptome
Bacteriën en schimmels kunnen osteomyelitis veroorzaken. Deze pijnlijke botinfectie veroorzaakt zwelling die het bot kan beschadigen en tot botverlies kan leiden.
Die chronisch nicht-bakterielle Osteomyelitis, kurz CNO, ist eine autoinflammatorische Erkrankung. Sie geht mit einer aseptischen Entzündung
Ist das Innere des Knochens betroffen, spricht man von einer Knochenmarkentzündung (Osteomyelitis). Wenn der äußere Teil erkrankt, nennt man dies eine Knochenentzündung (Osteitis). Die Ursache einer
- Iso/Iec 17549-1:2024
- Mürbeteig Sanella Rezepte | Sanella Backrezepte
- Postleitzahl Wildpfad
- Concepts Underlying Financial Performance
- Axis | Axis Deutsch
- Apeman By The Kinks _ The Kinks Apeman Meaning
- Vin Naturel Orange 2024
- Gernot Lässt Seine Fans Vor Lauter Lachen Schiefliegen
- 2K Holzkitt Für Den Innen Und Außenbereich (63
- Liste Der Tallinner Stadtoberhäupter
- Kaisa — Vater Der Nation Lyrics